Thanksgiving may have been a few weeks ago but my heart overflows with gratitude today. The date December 12, 1984, marks a major milestone in my life. Thirty years ago this morning I was unconscious on an operating table in a surgical unit at SUNY Upstate Medical Center (now Upstate University Hospital) in Syracuse, New York. A neurosurgeon and his team performed a full craniotomy during an eight-hour surgery and removed a large thumb-sized tumor—a craniopharyngioma—that had engulfed my pituitary gland.

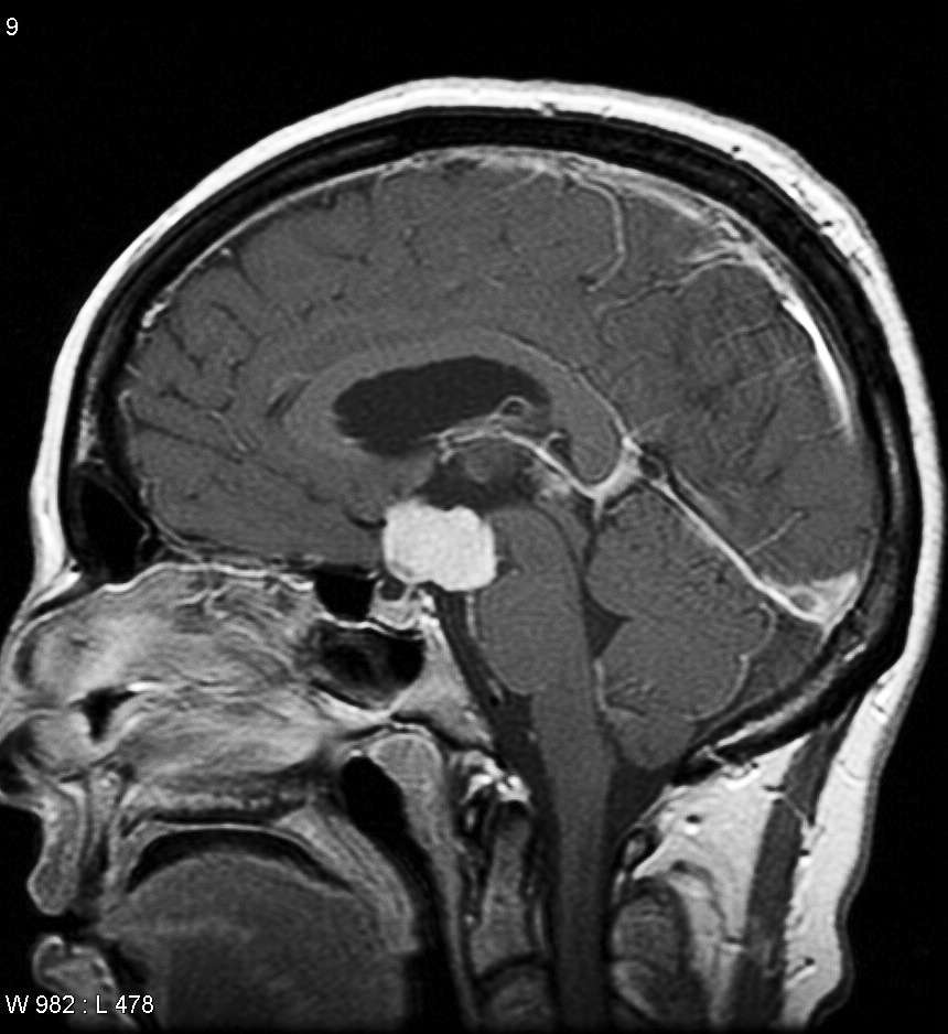
Craniopharyngioma example.
In the intervening years this tumor proved to be a challenging nemesis, lying dormant at times and then gathering strength and density and affecting my health. The surgery left me with a scar running from ear to ear just below the hairline and also resulted in panhypopituitarism, a deficiency of all of the hormones the pituitary gland produces. And the endocrine fallout and the tumor’s pesky recurrence have shaped my life ever since.
The struggle hasn’t been easy; but I am also grateful for having survived this ordeal, knowing it helped me to become a stronger, more independent and more appreciative person. And my frequent trips to Upstate have reminded me that while I’ve had some tough times, many other people have endured more serious health crises.
And so I decided to post this lengthy reflection because I feel so lucky today to have lived through four surgeries as well as being able to manage my hypopituitarism.
A DISCLAIMER:
I began writing this history a little over a week ago when I realized the 30th anniversary of my first surgery was approaching. As a result, this piece is very much a work in progress, the start of something I hope will become a long-term project in the future, perhaps even a memoir.
That being said, I did not have the time to fully vet and fact-check all of the medical terminology and procedures described in the post. However, I believe the information to be accurate based on online medical research and my memory of the events detailed.

Upstate University Hospital. Photo by DASonnenfeld.
So here it goes …
The diagnosis of the craniopharyngioma in November of 1984 provided vindication for me.
In August of that year my mother, father and sister Lisa celebrated my 15th birthday with a family dinner at a restaurant near our home in Rome, New York. My parents had been separated for a couple of years, but they tried to keep things civil, and that included my father attending family functions. After the waitress took our orders, I remember saying to everyone, “I need to see a doctor because I’m not growing like the rest of the kids.” I was surprised at how deliberate and clear-minded my thoughts were.

Posing with my parents prior to the surgery in 1984.
Fear inspired my desire to investigate the lack of growth, since I was getting ready to enter the tenth grade at Rome Free Academy, the public school in Rome. All of my classmates from junior high had sprouted up and matured, showing signs of puberty, while I remain unchanged. I was afraid I would get swallowed up in the new school, picked on for being the runt of the class.
My parents made an appointment for me with our family physician, who ran some tests and then referred me to an endocrinologist at Upstate, Dr. X.
During my office visit, his physician’s assistant took down a detailed patient history and then Dr. X, accompanied by a retinue of interns, came into the room and examined me.
He was a slim, balding man with a fringe of brown hair on the sides and around the back of his head. He had bright white teeth that appeared to be capped in the front, and he spoke in a strong, clear voice.
My mother told him that I wasn’t eating enough because I was afraid of gaining weight. My father confirmed her statement. “He’s afraid he’s gonna get heavy if he’s not growing in height,” Dad said.
Dr. X told me to lie down on the table. He then fished some yellow plastic eggs out of his white lab coat. The eggs were chained together, like a set of measuring spoons used for baking. Dr. X pulled down my underwear and held a couple of the eggs against my testicles, as he compared their size with the eggs. He told his interns I had hypogonadism marked by small testicles and a lack of pubic hair (although he used medical terminology).
He and his team then left the exam room and conferred in a conference room at the end of the hall.
When Dr. X came back he smiled at us, exuding aplomb, and he told my parents he knew the reason I wasn’t growing. He showed my parents some growth charts with required caloric content for boys my age. He said I was not taking in enough calories to spur growth. He said his own kids raided the refrigerator after school, wolfing down peanut butter and jelly sandwiches and running back to the fridge later at night, even after eating a full dinner. “Teenagers need a lot of food,” he said.
His prescription was simple. In addition to eating a normal breakfast, lunch and dinner, I should drink two Carnation Instant Breakfast drinks a day, one in the morning and one after school or at night. “Trust me, the extra calories will help you,” he said. My mother seemed pleased by the diagnosis, but I was pissed off. I couldn’t describe it, but I had an overwhelming sense that some physical abnormality was preventing my growth. I was also upset because we had traveled to Syracuse only to be prescribed something we could have picked up in the grocery store.

Carnation Breakfast Drink.
But before we left Upstate Dr. X ordered a hand and skull X-ray so he would be able to compare my chronological age with my biological age.
A day or two later he called my mother and told her the head CT showed a cloudy image in the brain. We had to go back for another scan, this one with contrast.
And I was elated when Dr. X informed my parents that the second scan revealed a tumor located at the base of my brain. He called it a craniopharyngioma, and said that although it was benign, this type of tumor could cause headaches, hormonal imbalances and vision problems if left untreated.
My intuition had been proven correct. And it made sense; the tumor was stunting my growth and I was not at fault.
Surgery was scheduled for December 12th, and I was admitted to the hospital a few days before in preparation. My parents and I met Dr. Y, who was bald man with glasses and a calm demeanor. He shook my hand and I remember how soft and warm his palm felt. My mother noticed it too. She later said, “Did you see his hands? They were immaculate?” Dr. Y also picked up a model of the brain resting on his desk and showed my parents the exact location of the tumor in the pituitary region.
I saw him again the night before surgery when he came to my room with some residents or interns. He used a black permanent marker to mark a couple of points on my head near both temples. The markings would be used as a guide for the saw when they cut open my skull.
My mother’s sister, Aunt Teresa—a Catholic nun whose religious name is Sister Carmella—traveled from her home in Florida to Syracuse to comfort my mother on the day of the surgery.

Here’s me visiting Aunt T. in Florida in 1985.
She came with her best friend, the late Rev. Charles Mallen, a Redemptorist priest and longtime friend of our family.
The night before the surgery a nurse gave me a sedative and Father Mallen bestowed a blessing. My parents were nervous, pacing in my room or hovering near my bed. But I wasn’t scared. I felt confident, and I was excited because I thought as soon as the tumor was removed, my body would be fixed and I would begin growing like the rest of the kids. My faith in God was also strong and I trusted that He would allow me to survive the surgery.
###
The following morning I remember being doped up and loopy from the oral, pre-surgery drugs I was given. An orderly then came to my room to take me away. He was a hulking figure with thick black hair and a black beard, and he reminded me of Bluto from the Popeye cartoons. But for some reason I called him Hugo. “OK Hugo,” I said, “I’m ready now.”
My Mom, Dad, sister Lisa and Aunt T. gathered around my bed, bending down to kiss me and wish me luck. Tears streaked my mother’s cheeks, which were red and wind-burned and felt cold against my skin.
And then Hugo wheeled me away in a gurney and I was taken to surgery. Inside the frigid, sterile surgical room, an overhead light shined directly into my eyes while a nurse or doctor shaved my head and put an IV into my arm. Goose bumps grew on my arms and my lips trembled. A nurse covered me with a white blanket and then someone slipped tight white stockings over my legs. One of the nurses said the stockings would help to prevent blood clots.
I also remember telling one of the nurses that I needed to pee, but the woman laughed at me and said, “Oh you don’t have to worry about that now. We already put in a catheter.”
###
And that was it. I was gone, under the power of anesthesia for about eight-and-a-half hours. I’ve often wondered where I traveled to during the surgery. What landscapes did I explore in my mind while I was unconscious on the operating table?
While the surgeons did their work, my family sat in the waiting room, and Mom, Aunt T. and Father Mallen also went into the chapel and stormed heaven with prayers. Father Mallen and Aunt T. had a strong attachment to the icon of Our Lady of Perpetual Help, so they appealed to her to intercede on my behalf.

Our Lady of Perpetual Help.
December 12th is also the feast day of Our Lady of Guadalupe, and I believe the Virgin Mary helped me to pull through the surgery that day.

Our Lady of Guadalupe.
###
The next thing I remember was waking up in the surgical ICU. I felt woozy and my head throbbed.
I could hear machines beeping and the sound of a respirator somewhere on the floor. My bed was tucked in a corner and I had EKG stickers pressed to my chest with wires attached. It seemed like Vaseline had been smeared on my eyelids and eyelashes; I also felt small, shriveled up in the bed like a green-gray alien being prodded by U.S. government doctors and scientists on an operating table in Roswell or Los Alamos, New Mexico. The stitches on my head itched and I reached up to feel them, running my finger from ear to ear. I imagined that I must have looked like a twisted version of the Mr. Met mascot.

Mr. Met. Photo by Richiek.
But I was thankful I was awake and that my brain function appeared intact. I responded to the questions posed by doctors. I knew my name, the current year, the president of the U.S. and the name of the city I was in. I could squeeze their fingers, wiggle my toes and follow a penlight with my eyes.
My mother, father, sister and Aunt T. huddled around my bed, their warm faces reminding me of Dorothy’s relatives in the scene when she wakes up from the dream at the end of The Wizard of Oz. My mom leaned over the bed rail, kissed my face and my eyelids and said, “You did great honey, just great.”
“Yeah, Dr. Y said he got most of it,” Dad said.
“Was it big?” I asked.
My mom held up her right thumb. “It was about the size of a large thumb,” she said. She caressed my face and added, “There’s just some remnants, but Dr. Y said we don’t need to worry about them now.”
“OK,” I said and closed my eyes. The white stockings were pulled up high on my legs and they felt tight against my skin, like they were cutting off my circulation.
I also felt bloated because I had been loaded up with cortisone steroids to prevent swelling in the brain. And the onset of panhypopituitarism after surgery meant I would need to take the steroids for the rest of my life.
The tumor also caused diabetes insipidus, a condition marked by a deficiency of vasopressin, an antidiuretic hormone; for patients with DI the kidneys are unable to regulate the release of urine. In short, you are always thirsty and you need to pee constantly. To counter this, patients take desmopressin (DDAVP), a synthetic version of vasopressin, which helps to regulate the action of the kidneys.
So I woke up with a raging thirst in my parched throat. But because the doctors were concerned about swelling, they restricted my fluid intake post-surgery. I could not drink any water but I was allowed to suck on ice chips.
However, late in the evening on the first night, with the lights dimmed on the floor after visiting hours had ended, I turned my head, looked around and noticed a sink near my bed in the corner. I climbed out of bed, turned on the faucet, cupped my hands and started gulping the water. A man, a male nurse, doctor or orderly, saw me, rushed toward me and pulled me away from the sink. “You just had brain surgery, you wanna crack your head open,” he yelled, and then brought me back to bed.
###
In the days immediately following the surgery, my mother told me I was rude to some of the doctors and nurses, swearing at them and even saying about Dr. X: “I don’t like him. He’s Jewish.” The details are blurred, and I know I did not act like myself, as I was unable to control my thoughts or actions. The nurses told me not to worry about it. They said it was the anesthesia talking, the effect of a long, stressful surgery. But my behavior also made me afraid of the darkness of my personality, knowing I possessed a bitterness lurking inside, just waiting to be unleashed.
I stayed in the surgical ICU for a few days and then was moved to my own room. Mom and Dad visited me and acted cordially toward one another. They were civil but shared no affection. Lisa brought me my homework from school. She said she was afraid of my tenth-grade English teacher, Mr. Rich, who reminded me of Danny DeVito from his Taxi days. I think Lisa said Mr. Rich scolded her for interrupting his class. And one of his assignments, analyzing and writing a report about the play The Effect of Gamma Rays on Man-in-the-Moon Marigolds, proved difficult in my post-surgery state. My brain was too foggy to sift through the lines of dialogue to decode their meaning.
Pretty soon I regained strength and my headaches eased. Some of the interns would come in and talk to me, asking me about my biology homework. Dr. X and his team followed up with the endocrine management, making sure I was receiving the correct dosage of steroids, DDAVP and synthroid.
I watched college football bowl games on the TV in my room, and unlike other patients on my floor, I could eat whatever I wanted. My parents would bring me turkey sandwiches from a sub shop on Marshall Street, along with oversized chocolate chip cookies that were made by a local bakery and delivered to the hospital cafeteria.
###
I succeeded in my goal of making it home in time for Christmas. I was discharged on Saturday, December 22nd, ecstatic to leave the hospital and go home to watch the NFL playoff games that weekend.
But I felt weak and tired and my legs were unsteady. I was also cold all the time and stayed on the couch wrapped in a blanket (cold intolerance is a symptom of hypopituitarism and hypothyroidism).
The heavy steroids gave me indigestion and made my cheeks blow up; I looked like a chipmunk with a dozen walnuts stuffed in its mouth. And my clothes were tighter because of the added water weight.
And my recovery hit a couple of roadblocks that scared my mother.
On Christmas Eve our family cooked fish in keeping with the Italian tradition. We usually made smelt, shrimp, haddock, mussels and angel hair pasta with anchovy aioli sauce. We went to my maternal grandmother’s house in the early afternoon to help her fry the fish. She would be cooking dinner for us and for my uncle, aunt and cousins. Then before my mom, dad and sister left Grandma DeCosty’s house to attend the early evening vigil mass at St. John the Baptist Church on East Dominick Street, I popped several shrimp in my mouth and ate them, telling my grandmother, Josephine, that I just needed to test them out before everyone else did.
A short time after arriving at church I started itching and red hives appeared on my face and arms. I couldn’t stop scratching; my mother took one look at my face and we left right away. She gave me some Benadryl when we got home. Prior to the surgery I had been able to eat shellfish, but it appeared I was now allergic to it.
The other setback was caused by my own stupidity. I wanted to get back to working out; I didn’t like how weak I felt and I wanted to lose the fluid buildup. I had a small barbell set in the mudroom in the bottom floor of our raised ranch house.
I started lifting light weights, but then pushed myself enough so that I broke a sweat. Later that day my mother noticed a patch of squishy fluid on my head near the dent in my skull where the surgeons went in. When I went back to have the stitches taken out, the doctor, (not Dr. Y), admonished me and told me to stop lifting weights. He said I could ride the stationary bike for a few minutes a day. That was all.

At Disney World in the winter of 1985; the scar from my surgery is still visible and my hair has not grown back completely.
###
I eventually returned to school, although I was still fatigued and my face still appeared bloated. During this time I became very close to my mother. Since the separation Dad had begun living at his mother’s house. Lisa was a senior in high school, and she was often busy with after-school activities, etc.
So my mom and I spent a lot of time alone together in the evenings. After dinner, she would sit up in bed, leaning against the headboard and reading a romance novel, usually something by Danielle Steel. I would spread out on the mattress, reading a book or doing my homework.
Other times I would just look up at the ceiling or at the crucifix hanging on the wall above the bed. I would also stare at a framed print of a teenaged Jesus hanging on the wall, near the bedroom closet. The gilded image always bothered me because—at least as I perceived it—a devil appeared in the bottom right-hand corner of the picture; the evil spirit even had horns and a beard.
I would get up, point to the frame and ask my mom repeatedly, “Do you see it there?” She would agree with me, but only to stop me from bothering her about it.
And as I splayed on her bed, listening to chunks of ice falling from the roof or a neighbor snowplowing a driveway outside, I would often think about my life and wonder if I would ever develop into a normal teenager.
My mother and I would not talk much as we shared those quiet moments in the winter evenings; she rarely diverted her attention from the page of her paperback. But her presence comforted me and at times she seemed to sense my distress over my condition. She used to keep with her a set of wooden rosary beads made for fingers, and she would press them against my head, as if asking the Lord to help me heal physically and emotionally.
I wrote a poem about her and it appeared in my debut poetry chapbook, Outskirts of Intimacy.
Post-Op Image, 1984
Sprawled out on my mother’s bed,
I hear chunks of ice falling from the roof,
and a city snowplow rushing past our house.
I tilt my neck to glimpse at the wooden crucifix
perched above my mother’s head,
and feel my putting-green hair and
surgical scar meandering from ear to ear.
I then pester her with a flurry of questions,
diverting her attention from a Danielle Steel book.
She delivers no rebuke, though,
but merely clasps her nut-brown rosary beads,
and brushes them gingerly
against the disfigurement.
(Outskirts of Intimacy, Flutter Press 2010)
###
My mother was also instrumental in helping me to get the medications I needed to spur growth. In my junior or senior year of high school, Dr. X prescribed me synthetic human growth hormone, which had been approved by the FDA.

Genotropin, a current form of growth hormone.
But growth hormone was very expensive and I don’t think my father’s insurance from Sears Roebuck, where he worked, covered the treatment. I’m not sure about this, but I think my father may have taken out a loan to help pay for it. I found some paperwork after he died that showed a loan dated in the mid-1980s.
My mother applied for SSI to help defray the cost of the growth hormone, and I remember going with her when she had appointments with a caseworker at the Oneida County Department of Social Services. She said it was humiliating to have to answer questions about her salary, marital status and how much child support she received from my father. Yet she did it anyway. “You see how much I love you,” she would say when we’d leave the building.
She also took an active role in the delivery of the growth hormone, as she was the person tapped to give me the shots. She wasn’t happy about it, but she learned how to do it.
I recall a sunny spring day (in 1985, 1986 or 1987) when a nurse came over to our house to show my mother how to administer the shots. The nurse told my mother to think of my butt as an orange peel, and that she needed to just get the needle through the “rind” … and into the muscle.
The shots were a little painful but I was excited to receive them. I mistakenly thought I would begin growing and “lean out” as soon as the HGH hit my bloodstream. By then I had resumed lifting weights and I would read articles in Muscle and Fitness about bodybuilders using HGH to boost strength and grow muscle. So I was hopeful the drug would have a positive reaction on me.
But I received a scare after my first injection, which was supervised by the visiting nurse. I was wearing a T-shirt and gray shorts, and I dropped my shorts, leaned against the kitchen table and waited for my mother to give me the shot. My mom’s hand was unsteady, but she injected the needle and pushed down the plunger.
After the drug went into the muscle, I felt a burning sensation on the tip of my penis. I was terrified. I thought the growth hormone had caused some chemical reaction that had traveled from my ass to my penis. “Would it attack my heart next?” I wondered. The burning sensation intensified. I left the kitchen, walking into the adjacent living room, turned my back to my mom and the nurse, who were both seated at the kitchen table, and yanked down my shorts and underwear. I pulled out my dick and examined it. A small rust-colored ant was burrowed into the skin on the tip of my penis. I don’t think it was a fire ant but it sure had some bite. I don’t know how it got there, although I suspect my mother may have spilled a few granules of sugar when preparing her morning coffee at the kitchen table. The ant must have crawled on the surface of the table and then bit me when I leaned against it.
I pulled the ant off my penis, and even had some trouble as it adhered to the skin. I flicked the ant on the ground and pulled up my shorts; I was also relieved that the pain was not due to an allergic reaction to the drug.
And speaking of bodybuilding, I became a member of Solid Gold Fitness Center located on East Dominick Street, across the street from St. John’s Church. I would work out there after school. The gym doubled as a pharmaceutical lab, and I recall power lifters and bodybuilders doing sets, and then disappearing into the bathroom two at a time. One person would give the other a shot, and I believe the drug of choice was testosterone cypionate.
You could always tell the members who were taking steroids; they had large patches of red acne on their backs and they grunted loudly when completing heavy sets. But most of the guys in the gym were very nice and they sort of adopted me, perceiving me as a weightlifting version of an equipment manager for a high school football team.
They knew about my surgery and medical condition and would joke with me about it. “Hey man,” one Air Force guy used to say, “when you gonna hook me up with some of that HGH?” I would laugh but he would keep a straight face and say, “Come on man, help me out.”
“I can’t. I need it for myself,” I would say.
“Oh come on man, you can give me just a little bit.”
###
And the growth hormone made a big difference in my appearance. I went from being 4 feet 8 inches tall in 1984 to my final height of 5 foot 3 and a half.
But I didn’t begin showing signs of puberty—most notably a deeper voice—until I began taking testosterone toward the end of my undergraduate studies at St. John Fisher College in Rochester.

Late high school or early college years.
As a result, during my time at Fisher I was considered an anomaly.
I looked like a 14-year-old boy and, initially, some of my classmates mistook me for an academic prodigy. I had to explain to them I was of normal intelligence but appeared young for my age due to a pituitary condition. My soft baby face and round features also meant no girls at the school took me seriously as boyfriend material; I was considered cute like a teddy bear, safe and gentle, but definitely not attractive.

Late high school period.
And my poor body image led to feelings of self-hated that have persisted to this day.
At Fisher I visited the nurse’s office in the basement of a campus building three times a week to receive my growth hormone shots (and later testosterone). The nurse was kind woman in her forties with dark hair who wore red lipstick and reminded me of a less glamorous version of Jane Russell.
She treated me with respect and never made me feel abnormal because I had to receive the medication. I would come into her little office and head right into the exam area, if she didn’t have a patient with her. She would get the HGH out of the refrigerator, prepare the syringe, tell me to bend over and then inject the drug. She was all business and the visits to the nurse’s office never took more than five minutes out of my day.
Still, I felt humiliated that I had to go there three times a week; I thought I was done seeing the school nurse after I finished elementary school. It wasn’t like I had a sore throat or the flu or some other “normal” reason to visit the health center. And I hate to admit it, but the nurse was the only female to see me undress during my four years at Fisher.
###
But I had bigger problems to worry about than my wounded pride, as the tumor crept back into my life during my freshman year. The remnants had grown back and Dr. Y was afraid the mass would press against my optic nerve. I was scheduled for a follow-up surgery at Upstate in the summer of 1988, at the conclusion of my freshman year.
This time surgeons broke my nose, went up through the roof of my mouth and into the nasal cavity and scraped away the vestiges of the source tumor.
It wasn’t as long or as arduous a surgery as the initial craniotomy, but I still needed to spend at least two weeks in the hospital. The doctors had removed a tendon from my right leg and used it to pack the nasal cavity so cerebrospinal fluid wouldn’t leak.
I recovered quickly but what bothered me more than anything during my stay at Upstate was being mistaken for a girl. This was partially because I had allowed my hair to grow long. As I was being discharged, a black woman, a nurse or orderly, wheeled me to the elevator and pushed the button. As we waited for the elevator to arrive, she asked my mother, “How old is she?” I turned around and said, “What do you mean ‘she?’ I’m a boy, a he.”
“Oh I’m sorry,” the woman said, turning to my mom as if offering an apology. It’s just, she’s, I mean he, he’s so pretty, I got confused.”
My mother said, “That’s all right. If he wants to wear his hair long he has to accept being called a girl.”
I ended up getting a haircut within days of coming home from the hospital. But this became common, being confused for a girl, as my feminine features and high-pitched voice fooled people. Often customer service reps would call me “mam” over the phone, and I got so used to it that I never corrected them. It seemed easier to just go along with the mistake instead of spending the time trying to convince them I was a man.
But my life progressed for more than 20 years without surgical interruptions. I finished college, completed graduate school and worked in journalism for several years while moving around the country.
I had to manage the medications required to replace the hormones my body could not produce. But although the testosterone shots (and later AndroGel testosterone gel) spurred puberty, leading to a deeper voice and the maturation of my body and facial features, I remained young looking well into my thirties.

AndroGel.
I could never shake this idea of myself as a man trapped in the outward shell of a boy. And that’s partly because people would let me know that I was different. I would go to a bar or buy a bottle of wine at a store and have to show my ID. And invariably the clerk or bartender would say “No fucking way are you 25 (or 26, 27, 28, 29, 30, etc.). I don’t believe you.” I would then engage in a conversation with the person, trying to convince him or her that I looked young because of a pituitary condition.
Here’s a poem I wrote that addresses this experience:
Lingering Teen
An image sliding out of step,
of a vision distorted by time untouched,
an unalterable frame of reference—
unbridled youth imprisoned in the earth,
a ruddy, laminated exterior left intact
of a man not yet consummated,
an eternal virgin in Osh Kosh overalls and powder blue Keds.
A tumor smothered the pituitary gland,
stifling the juices essential for maturation,
delaying the growth process and
disrupting the endocrine system.
The baby face and childish veneer
kept the man incognito,
enslaved by terminal adolescence—
twenty-seven remaining stuck at fifteen.
(Outskirts of Intimacy, Flutter Press 2010)
###
When I was living in Phoenix, Arizona, between 1998 and 2006, my endocrinologist, a female Russian doctor, decided she wanted to get an MRI of my brain because of my medical history. She wanted to make sure the craniopharyngioma was not growing back and impacting the endocrine system.
My last MRI had been done in the early 1990s at Georgetown University Hospital in Washington, DC. I was attending graduate school at American University at the time and was being seen by an endocrinologist at Georgetown.
So while my endocrinologist in Phoenix had no previous films to compare my updated MRI with, when she saw me for an office visit she explained that the image showed a tumor in the pituitary region. “It’s a pretty good-sized tumor,” she said. “It looks to have grown back from your last surgery.”
She referred me to a neurosurgeon at the Barrow Neurological Institute at St. Joseph’s Hospital. The neurosurgeon, Dr. W, examined me and reviewed the MRI. I remember leaving the hospital after the visit and entering the chapel at St. Joseph’s. I prayed to St. Joseph that he would intercede on my behalf, sparing me from having to undergo the knife for a third time.
I was working as an editor at a broadcast news wire service, and I was concerned about my insurance not covering surgeries related to pre-existing conditions. So while I said my prayer in the chapel, I also calculated the cost of brain surgery, and I decided I would have to declare bankruptcy if the insurance company denied coverage.
Fortunately it never came to that. A day later, Dr. W left me a voicemail that said he had reviewed the MRI and although he spotted the tumor, he thought it was small and was not affecting the optic nerve or any other vessels or structures in the brain. “My advice is to just watch it for now,” he said in his message. “Let’s get another MRI in about six months.”
I was relieved to hear Dr. W’s plan of action, and I made sure to thank St. Joseph for his help.
After that I received a follow-up MRI every six months; the tumor kept growing slightly but it never caused headaches or impacted my vision.
That was until the late summer of 2011 when I started experiencing minor headaches and visual disturbances. I first noticed the vision changes at Syracuse University’s season-opening football game against Wake Forest in the Carrier Dome.
While looking downfield at the line of scrimmage, the Orange and their opponents, the Demon Deacons, appeared blurry, even though I was wearing my prescription eyeglasses. Some of the players also looked like they had ghostly tails trailing their bodies. I then realized I was having double vision, and some images became blended unnaturally. My eyes seemed incapable of making sharp delineations between two objects, say, for example, the scoreboard and the goal posts.
My vision got worse as autumn progressed, and I would see two moons instead of one suspended in the sky on clear fall nights. And I knew I had to see my neurosurgeon after I went to a screening of Moneyball at the mall cinema. During the showing of the previews, the white text in the Motion Picture Association of America’s graphic screen became jumbled. My eyes had reshuffled the words in the sentence, “The Following Preview Has Been Approved for Appropriate Audiences by the Motion Picture Association of America, Inc.”

Motion Picture Association of America graphic.
An MRI with and without contrast was performed in Syracuse in October, and it revealed the tumor had grown since the last MRI in January 2011. Here is an excerpt from the radiologist’s report:
“Neoplasm of uncertain behavior of pituitary gland and craniopharyngeal duct. The lesion is compressing the cavernous sinus including internal carotid arteries, the brainstem and the optic chiasm. The lesion measures 30 x 30 x 36 millimeters.”
The conversion to inches is 1.18 x 1.18 x 1.41.
My third surgery took place in November 2011 at Upstate, as an ENT surgeon teamed up with my neurosurgeon, Dr. H, to address the tumor, which Dr. H described as a fluid-filled sac, like a water balloon swelling in my brain. The surgeons used a transsphenoidal approach (through the nose) to decompress the tumor, draining the fluid inside and relieving the pressure on the optic nerve and in the optic chiasm.
And it worked; when I woke up in recovery I could tell immediately that my vision was back to normal.
The downside: I suffered severe headaches, felt woozy from the painkillers and for the next few weeks could not sneeze or blow my nose; this was especially difficult because my nose always runs when I go outside in cold weather.
Yet the hardest part of my recovery was that it coincided with the death of my mother from lung cancer at the age of 66. My surgery was on November 18th and my mom passed away on November 22nd.

Carmella Ruane, 1945-2011
I recuperated in Rome at my stepfather Bill’s house, and Lisa, my sister Jennifer, my Aunt T., my Uncle Frank and my Uncle Fee all traveled to Rome for the funeral. I was unable to attend the wake and the funeral because my family and I were concerned that I would cry (and need to blow my nose), and this could cause cerebrospinal fluid to leak; and that complication would possibly require another surgery to repair.
I had to mourn my mother in a quiet, detached manner, compartmentalizing the experiences of my surgery/recovery and her death. They were two separate things and my health forced me to not become emotional over my mom’s passing.
###
Less than a year later I had Gamma Knife radiosurgery at the suggestion of Dr. H. He said I was a good candidate for it and he hoped the procedure would prevent the tumor from ever coming back.
In July of 2012 Dr. H worked with a radiation oncologist to carry out the Gamma Knife radiosurgery. A local anesthetic, lidocaine I believe, was injected into my head. The injections felt like bee stings and I complained about the pain; but my grumbling ceased the moment the doctors fit a frame on my head and started inserting pins to hold the frame in place. The titanium pins were about an inch long and tapered. They were screwed into my skull; the pain was intense and it felt like the bones in my head were shifting. I was afraid that if they removed the pins and the frame, my skull would shatter into four or five large pieces.
The nurse kept telling me to close my eyes and take deep breaths, so I remained very still, just taking in short breaths of air and exhaling with “whoo, whoo, whoo” sounds. I must have looked like a smaller version of Frankenstein, although I was not preoccupied with my appearance because I couldn’t think beyond the pain.
A clear plastic bubble was placed over the frame and the doctors inserted a narrow “stick ruler” into the holes in order to take measurements. I was then given an MRI with contrast. The doctors reviewed the scans, went into a conference room and formulated a precise treatment plan for me.

Gamma Knife machine.
I was then wheeled to the Gamma Knife area; the frame on my head was fitted into a steel helmet on the table and fixed into position; then the radiation treatment commenced. I think it lasted for about 30 minutes and was painless. The nurses took me to recovery, removed the harness, bandaged my head and gave me some toast to eat. I stayed in recovery for a while and then my brother Dirk drove me to Bill’s house in Rome, where I spent the night (with Dirk sleeping on the couch to make sure I was OK).
In August I saw Dr. H for my post-op follow-up appointment. He said the radiation would take about eighth months to work through the system and his office would call me to schedule another MRI in about six months.
The MRI and follow-up appointment with Dr. H took place in March 2013.
The MRI was done in the early morning and the images were sent electronically to Dr. Hall’s office. Later in the day, I went to H’s office on Irving Avenue. A nurse escorted me to a small exam room to wait for Dr. H. I looked out the window and watched the cars and pedestrians moving on Marshall Street. I gazed at the top of SU’s Hall of Languages and Link Hall and watched the pigeons circling the area. While I looked outside and pondered my fate, the nurse took down my most up-to-date medical information. She also commented that she liked the view overlooking Marshall Street, “even though it’s gray outside.”
She then left and a short time later Dr. H entered the room. The “appointment” lasted less than five minutes. He shook my hand and asked me how I was doing. He sat down on a blue swivel stool and wasted no time in delivering the results of the MRI.
And I received the best news possible. Dr. H stopped chewing his gum and said, “Well, I looked at your scan and it’s great. The area we treated has collapsed down even more and there’s just a thin layer of scar tissue.”
“Really?” I said. “That’s great.”
“Yes,” he said. “And the optic nerves are completely clear. It’s the best I’ve seen for you since I’ve known you.”
He said I could wait a full year before I had to come back for another MRI, and maybe after that “we’ll go every two years.” He also said the words I had waited so long to hear. “I don’t think the tumor will grow back this time.”
And so far it hasn’t. My last MRI was done in April and the radiologist’s report summed it up like this:
IMPRESSION:
No significant interval change since 3/5/2013.
###
So now the story is up to date, but I still wonder if this medical journey will ever end. After three surgeries and one Gamma Knife treatment, has the craniopharyngioma really been defeated? Or will the tumor reform, regrow and once again adhere to the sinus cavity and pituitary region? I can’t answer those questions. All I can do now is be grateful for having survived with my eyesight fully restored and my brain function intact. I will have to see an endocrinologist for the rest of my life and manage my medications strictly (in particular cortisone replacement, which is necessary for my survival).
Dealing with my condition may be difficult at times and I know I will suffer setbacks along the way. However, I am still blessed to be able to live a fairly normal life. I’m married to a wonderful woman now (my wife Pam), I have a good job in Syracuse and I’m hopeful for the future.
And to keep my health issues in perspective, I try to guess how many patients at Upstate will need emergency surgery today (or any other day) in order to have a fighting chance at life. How many others will receive a stage four cancer diagnosis, or hear the words, “I’m sorry, there’s nothing else we can do?”
Craniopharyngioma/hypopituitarism was the path I was given. There’s no use complaining about it or asking for a different cross to replace the one I’ve carried for three decades. We all have struggles to face, and this one is mine. I own it.

Florida, 1985.
So in reality I feel pretty lucky that more thirty years ago, as a 15-year-old boy, I badgered my parents about my lack of growth and maturation. I’m glad they took me seriously, and I’m also thankful for all of the doctors and nurses who treated me along the way. And I know it may sound strange to say, especially in an era marked by Viagra and Cialis television commercials, but I also owe of debt of gratitude to the pharmaceutical industry for the development of synthetic growth hormone and testosterone. If I hadn’t received the replacement drugs I might still look like a teenager today.
And as a punctuation to my story I will leave you with one more poem. It sums up my experience, reflecting on what I’ve lived through so far while at the same time looking forward to what’s ahead.
Late Bloomer
They are just words: pronouns and nouns,
but their significance weighs heavy.
He or She, Sir or Madam—
they define gender and identity.
I am a man in my forties
and the electric razor stubble
left on my face each morning
means no one confuses me for being female.
But there was a time in the midst of adolescence,
when a pituitary tumor prevented my natural progression.
In my late teens my crotch stayed bald and my balls didn’t drop.
And my voice gave me away,
with customer service professionals calling me “mam” over the phone.
I was deemed abnormal, by myself and others,
because of my high vocal pitch and epicene features.
My friends moved on while I stayed behind,
watching helplessly as they grew out of me.
And I could do nothing to achieve normalcy.
Normalcy only came after a separation of years,
with the onset of adulthood spurred by pharmaceuticals—
the addition of testosterone to my endocrine regimen,
altering my body, my face, my voice.
And I rejoiced the first time I slid a Gillette razor
along the surface of my peach-fuzz cheeks.
With this ritual completed
and other physical discoveries made,
I recognized the man had overtaken the boy at last,
resulting in a sense of equality with other males,
as my biological age finally met its chronological equivalent.
(In Pursuit of Infinity, Finishing Line Press 2013)